FLASH :

“I detyrohem një birrë shoferit! U përplasa nga një Range Rover ndërsa isha me skuter elektrik – dhe doli të ishte dita më me fat e jetës sime”

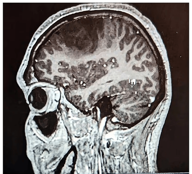
Një burrë që u godit nga një makinë teksa kthehej nga puna me skuter elektrik, ka thënë se dëshiron “t’i blejë një birrë shoferit”, pasi skanimet në spital pas aksidentit zbuluan se ai kishte një tumor në tru.

Connor McCann, 35 vjeç, nga Omagh, Irlanda e Veriut, sapo kishte përfunduar një turn të vonë në punën e tij si optometrist më 8 dhjetor 2022, kur në mënyrë të pazakontë vendosi të mos kthehej në këmbë në shtëpi. Në vend të kësaj, hipi në atë që tani e përshkruan si “kurth vdekjeje”, skuterin elektrik, dhe ndërsa udhëtonte në rrugë të ftohta e të errëta, u godit nga një Range Rover gri që e përplasi në tokë.

I tronditur, Connor zvarriti veten drejt trotuarit dhe kujton se aty pati krizën e parë nga ato që tani i përjeton çdo dy javë.

“Shikova nga makina dhe kuptova se muskujt nuk po më përgjigjeshin siç duhet,” tha ai për MailOnline. “Lëviznin në drejtim të kundërt. Muskujt, qafa dhe koka po më drejtoheshin nga lart dhe djathtas dhe kafshova gjuhën. Kjo është gjëja e fundit që mbaj mend përpara se të zgjohesha në pjesën e pasme të ambulancës.”

Ndërsa i përshtatej dritës që i binte në fytyrë dhe dëgjonte sirenat, Connor ndiente dhimbje në këmbë, pasi njëra këmbë i kishte ngecur nën trupin e skuterit gjatë përplasjes. Ai e dinte se këmbën do t’ia fashonin për disa javë.

Por ajo që nuk e priste ishte zbulimi i një tumori në tru, sa një dardhë, një gliomë me zhvillim të ngadaltë, që po rritej pa u vënë re.

“Bënë një skanim për të parë nëse kisha gjakderdhje të brendshme ose tronditje, që me siguri e kisha,” – shtoi ai. “Prisja të më thonin diçka të tillë, por në vend të kësaj, më thanë: ‘kemi një lajm të mirë dhe një të keq’. Lajmi i mirë ishte se nuk kishte gjakderdhje, por lajmi i keq ishte se kishin zbuluar një tumor primar në tru.”

“Nëse nuk do të isha goditur, nuk do ta kisha zbuluar kurrë. Në një farë mënyre, shoferi më bëri një nder.”

Deri sot, Connor ende nuk e di se kush ishte shoferi që e goditi, por shpreson që një ditë të takohen për një birrë. Ai tha se shoferi madje i kishte kthyer orën Garmin që i kishte rënë gjatë aksidentit, pa asnjë gërvishtje.

Megjithëse mban një qëndrim pozitiv, Connor u detyrua t’i nënshtrohej disa ndërhyrjeve të vështira kirurgjikale. Në shkurt 2023 iu nënshtrua një kraniotomie, ku mjekët hoqën 70% të tumorit. Por operacioni duhej ndalur për shkak të afërsisë me zonën e të folurit në tru – nëse do të vazhdonin, ai do të humbiste përgjithmonë aftësinë për të komunikuar.

Edhe pse e shmangën këtë pasojë, mjekët i diagnostikuan afazi – një gjendje që kufizon aftësinë për të folur dhe për të përdorur gjeste. Për afro tre muaj pas operacionit, Connor nuk mund të fliste.

Megjithatë, ai u rikuperua në mënyrë të jashtëzakonshme dhe u rikthye në punë pas gjashtë muajsh.

“Puna ime përfshin shumë komunikim me pacientë dhe unë punoja në të njëjtin vend prej më shumë se një dekade, ndaj shumë pacientë më njihnin dhe më prisnin të kthehesha,” – tha ai. “U ktheva ngadalë, por me vendosmëri. Kisha shumë emocione të përziera, vendosmëri dhe pak ndjenjë të të qenit i padenjë. Më shqetësonin disa gjëra: a do të mund të komunikoja si më parë? A funksiononte mendja siç duhej? Por ja që ia dola – derisa në skanimin e fundit këtë vit…”

Në një kontroll MRI në shkurt, mjekët vunë re zona të reja në tru që ndizeshin gjatë skanimit – kishte një rritje të re. Kjo e detyroi Connor-in të fillojë 6 javë terapi me rrezatim (radioterapi), prej të cilave ai ka kaluar katër, e më pas do të ndjekë një trajtim me kimioterapi – çka e detyroi të largohet sërish nga puna.

Ethan Loughrey, 35 vjeç, mik i ngushtë i Connor-it prej më shumë se dy dekadash, tregoi për MailOnline se si e kuptoi që mund të ndihmonte disi: “Po flisnim shpesh pas zbulimit të rritjes së re dhe një ditë më dërgoi një mesazh zanor ku shprehej për ndjenjat e tij. Mes të tjerash, përmendi me pak fjalë shqetësimin për financat – si kalimthi, në një mesazh 6-7 minutësh. Dhe mendova: OK, ndoshta mund të bëjmë diçka.”

Së bashku me dy miq të tjerë, Damien dhe Daniel, Ethan nisi një fushatë në GoFundMe për të ndihmuar me shpenzimet mjekësore dhe të ardhurat e humbura. Fushata ka mbledhur mijëra paund nga miq, familjarë dhe të panjohur të prekur nga historia e tij.

“Ne jemi pjesa më e vogël në këtë,” – shtoi Ethan. “Connor është jashtëzakonisht pozitiv për gjithçka. Ne thjesht duam ta ndihmojmë që të mos shqetësohet për trajtimin.”